MR Technologies
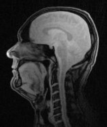
Vocal Tract ImagingThe aim of this project is to acquire images of the vocal tract of performing singers inside the MRI. There are still many open research questions in singing, concerning register changes, the number of registers and general acoustic resonance properties of the vocal tract.
We have ongoing projects to measure singers with real-time sequences in high field MR systems. Additionally we do research on position-related changes of the vocal tract with weight-bearing imaging.
The main challenge in this area of research is to accelerate the imaging process. The acquisition can be improved by using non-cartesian trajectories, such as radial or spiral sampling. The acquired data is then processed by using regularized iterative reconstruction methods.
Dr. Sebastian Littin
Group Leader
Tel.: +49 761 270-93820
E-Mail: sebastian.littin@uniklinik-freiburg.de
University Medical Center Freiburg
Dept. of Radiology · Medical Physics
Killianstr. 5a
79106 Freiburg


