Research Group "Human B-cell immunodeficiency"
Prof. Dr. Klaus WarnatzThe research group „Human B-cell immunodeficiency“ is concerned with primary and secondary immunodeficiency disorders of the adult. At the interface of clinical and basic science, the classification, diagnostics and pathogenesis of clinically relevant disorders are at the centre of our interest.
CV
| since 2008 | Senior Consultant, Center for Chronic Immunodeficiency, Medical Center - University of Freiburg |
| 2006 | Habilitation in Internal Medicine |
| 2006-2008 | Consultant, Div. of Rheumatology and Clinical Immunology, Medical Center - University of Freiburg |
| 1999-2006 | Resident, Div. of Rheumatology and Clinical Immunology, Medical Center - University of Freiburg |
| 1997-1999 | Post Doc, PD Dr. Hermann Eibel, KFR, University of Freiburg |
| 1994-1997 | Post Doc, Prof. D. Carson, University of California at San Diego, USA |
| 1991-1994 | Resident, Dept. Gastroenterology, University Medical Clinic Rechts der Isar, TU München |
| 1984-1991 | Study of Medicine in Aachen |
Research Areas
Primary Immunodeficiencies in Adults
While most primary immunodeficiency disorders already present during childhood, some disorders manifest preferentially later in life. The most common form is the common variable immunodeficiency (CVID). This diagnosis comprises a very heterogeneous group of idiopathic antibody deficiency syndromes. Genetic as well as environmental factors contribute to its manifestation in most patients. A much less common immunodeficiency of the adult is the idiopathic CD4 lymphopenia (ICL). The clinical picture resembles the HIV-infection. The underlying pathogenesis is not yet understood.
- This research area is being addressed by the Keller group.
Summary
Common variable immunodeficiency (CVID) represents the most common diagnosis among primary immunodeficiency disorders (PID). It affects about 1:25.000 people and is characterized by an antibody deficiency affecting general IgG and IgA and specific antibody production. Most patients suffer from recurrent bacterial infections of the respiratory and gastrointestinal tract, while about a third of the patients develop autoimmune and inflammatory manifestations as an expression of additional immune dysregulation. Currently, we have recognized monogenetic defects in up to 25% of patients (1). Our group has substantially contributed to the classification of the patients (2-8), description of the immune dysregulation (9-14), the clinical description of this heterogeneous group of diseases (15, 16) and the possible treatment approaches ADDIN EN.CITE.DATA (17-24) (see also section on lung disease and enteropathy). Our current interest is a deeper understanding of the pathogenesis of the different severe disease manifestations in order to provide novel treatment approaches restoring rather than suppressing immune function.
Methods
- Interventional and Non-interventional clinical studies
- Deep phenotyping of the immune system
- Transcriptome and proteome analysis
- Histology
- Cell culture studies
- Signaling studies
Cooperations
- Bodo Grimbacher (IFI, Freiburg)
- Isabella Quinti (Sapienza, Rome, Italy)
- Charlotte Cunningham-Rundles (Mount Sinai, New York, USA)
- ESID Clinical Working party
Funding
- Miscellaneous
Publications
1. Rojas-Restrepo, J., A. Caballero-Oteyza, K. Huebscher, H. Haberstroh, M. Fliegauf, B. Keller, R. Kobbe, K. Warnatz, S. Ehl, M. Proietti, and B. Grimbacher. 2021. Establishing the Molecular Diagnoses in a Cohort of 291 Patients With Predominantly Antibody Deficiency by Targeted Next-Generation Sequencing: Experience From a Monocentric Study. Frontiers in Immunology 12.
2. von Spee-Mayer, C., V. Koemm, C. Wehr, S. Goldacker, G. Kindle, A. Bulashevska, M. Proietti, B. Grimbacher, S. Ehl, and K. Warnatz. 2019. Evaluating laboratory criteria for combined immunodeficiency in adult patients diagnosed with common variable immunodeficiency. Clin Immunol 203: 59-62.
3. Wehr, C., T. Kivioja, C. Schmitt, B. Ferry, T. Witte, E. Eren, M. Vlkova, M. Hernandez, D. Detkova, P. R. Bos, G. Poerksen, B. H. von, U. Baumann, S. Goldacker, S. Gutenberger, M. Schlesier, C. F. Bergeron-van der, G. M. Le, P. Debre, R. Jacobs, J. Jones, E. Bateman, J. Litzman, P. M. van Hagen, A. Plebani, R. E. Schmidt, V. Thon, I. Quinti, T. Espanol, A. D. Webster, H. Chapel, M. Vihinen, E. Oksenhendler, H. H. Peter, and K. Warnatz. 2008. The EUROclass trial: defining subgroups in common variable immunodeficiency. Blood 111: 77-85.
4. Warnatz, K., C. Wehr, R. Drager, S. Schmidt, H. Eibel, M. Schlesier, and H. H. Peter. 2002. Expansion of CD19(hi)CD21(lo/neg) B cells in common variable immunodeficiency (CVID) patients with autoimmune cytopenia. Immunobiology 206: 502-513.
5. Haimel, M., J. Pazmandi, R. J. Heredia, J. Dmytrus, S. K. Bal, S. Zoghi, P. van Daele, T. A. Briggs, C. Wouters, B. Bader-Meunier, F. A. Aeschlimann, R. Caorsi, D. Eleftheriou, E. Hoppenreijs, E. Salzer, S. Bakhtiar, B. Derfalvi, F. Saettini, M. A. A. Kusters, R. Elfeky, J. Trück, J. G. Rivière, M. van der Burg, M. Gattorno, M. G. Seidel, S. Burns, K. Warnatz, F. Hauck, P. Brogan, K. C. Gilmour, C. Schuetz, A. Simon, C. Bock, S. Hambleton, E. de Vries, P. N. Robinson, M. van Gijn, and K. Boztug. 2022. Curation and expansion of Human Phenotype Ontology for defined groups of inborn errors of immunity. J Allergy Clin Immunol 149: 369-378.
6. Seidel, M. G., G. Kindle, B. Gathmann, I. Quinti, M. Buckland, J. van Montfrans, R. Scheible, S. Rusch, L. M. Gasteiger, B. Grimbacher, N. Mahlaoui, and S. Ehl. 2019. The European Society for Immunodeficiencies (ESID) Registry Working Definitions for the Clinical Diagnosis of Inborn Errors of Immunity. J Allergy Clin Immunol Pract 7: 1763-1770.
7. Warnatz, K., and M. Schlesier. 2008. Flowcytometric phenotyping of common variable immunodeficiency. Cytometry B Clin.Cytom. 74: 261-271.
8. Bonilla, F. A., I. Barlan, H. Chapel, B. T. Costa-Carvalho, C. Cunningham-Rundles, M. T. de la Morena, F. J. Espinosa-Rosales, L. Hammarstrom, S. Nonoyama, I. Quinti, J. M. Routes, M. L. Tang, and K. Warnatz. 2016. International Consensus Document (ICON): Common Variable Immunodeficiency Disorders. J Allergy Clin Immunol Pract. 4: 38-59. doi: 10.1016/j.jaip.2015.1007.1025. Epub 2015 Nov 1017.
9. Klocperk, A., D. Friedmann, A. E. Schlaak, S. Unger, Z. Parackova, S. Goldacker, A. Sediva, B. Bengsch, and K. Warnatz. 2022. Distinct CD8 T Cell Populations with Differential Exhaustion Profiles Associate with Secondary Complications in Common Variable Immunodeficiency. J Clin Immunol.
10. Berbers, R. M., J. Drylewicz, P. M. Ellerbroek, J. M. van Montfrans, V. Dalm, P. M. van Hagen, B. Keller, K. Warnatz, A. van de Ven, J. M. van Laar, S. Nierkens, and H. L. Leavis. 2021. Targeted Proteomics Reveals Inflammatory Pathways that Classify Immune Dysregulation in Common Variable Immunodeficiency. J Clin Immunol 41: 362-373.
11. Unger, S., M. Seidl, P. van Schouwenburg, M. Rakhmanov, A. Bulashevska, N. Frede, B. Grimbacher, J. Pfeiffer, K. Schrenk, L. Munoz, L. Hanitsch, I. Stumpf, F. Kaiser, O. Hausmann, F. Kollert, S. Goldacker, M. van der Burg, B. Keller, and K. Warnatz. 2018. TH1 phenotype of T follicular helper cells indicates an IFNgamma-associated immune dysregulation in CD21low CVID patients. J Allergy Clin Immunol 141: 730-740.
12. Friedmann, D., B. Keller, I. Harder, J. Schupp, Y. Tanriver, S. Unger, and K. Warnatz. 2017. Preferential Reduction of Circulating Innate Lymphoid Cells Type 2 in Patients with Common Variable Immunodeficiency with Secondary Complications Is Part of a Broader Immune Dysregulation. J Clin Immunol 37: 759-769.
13. Kuntz, M., S. Goldacker, H. E. Blum, H. Pircher, S. Stampf, H. H. Peter, R. Thimme, and K. Warnatz. 2011. Analysis of bulk and virus-specific CD8+ T cells reveals advanced differentiation of CD8+ T cells in patients with common variable immunodeficiency. Clin Immunol 141: 177-186.
14. Rakhmanov, M., B. Keller, S. Gutenberger, C. Foerster, M. Hoenig, G. Driessen, B. M. van der, J. J. van Dongen, E. Wiech, M. Visentini, I. Quinti, A. Prasse, N. Voelxen, U. Salzer, S. Goldacker, P. Fisch, H. Eibel, K. Schwarz, H. H. Peter, and K. Warnatz. 2009. Circulating CD21low B cells in common variable immunodeficiency resemble tissue homing, innate-like B cells. Proc.Natl.Acad.Sci.U.S.A. 106(32): 13451-13456.
15. Wehr, C., L. Houet, S. Unger, G. Kindle, S. Goldacker, B. Grimbacher, A. Caballero Garcia de Oteyza, R. Marks, D. Pfeifer, A. Nieters, M. Proietti, K. Warnatz, and A. Schmitt-Graeff. 2021. Altered Spectrum of Lymphoid Neoplasms in a Single-Center Cohort of Common Variable Immunodeficiency with Immune Dysregulation. J Clin Immunol.
16. van de Ven, A., I. Mader, D. Wolff, S. Goldacker, H. Fuhrer, S. Rauer, B. Grimbacher, and K. Warnatz. 2020. Structural Noninfectious Manifestations of the Central Nervous System in Common Variable Immunodeficiency Disorders. J Allergy Clin Immunol Pract 8: 1047-1062.e1046.
17. Volk, T., K. Warnatz, R. Marks, H. Urbach, G. Schluh, V. Strohmeier, J. Rojas-Restrepo, B. Grimbacher, and S. Rauer. 2022. Pembrolizumab for treatment of progressive multifocal leukoencephalopathy in primary immunodeficiency and/or hematologic malignancy: a case series of five patients. J Neurol 269: 973-981.
18. Warnatz, K., S. Jolles, C. Agostini, F. Vianello, M. Borte, C. Bethune, S. Grigoriadou, A. Richter, R. Jain, D. M. Lowe, C. Katelaris, C. Milito, and M. C. Cook. 2022. Subcutaneous Gammanorm® by pump or rapid push infusion: Impact of the device on quality of life in adult patients with primary immunodeficiencies. Clin Immunol 236: 108938.
19. Globig, A. M., M. Heeg, C. S. Larsen, R. D. Ferreira, G. Kindle, S. Goldacker, V. Strohmeier, S. L. Silva, C. Cunningham-Rundles, I. Quinti, R. Thimme, D. Bettinger, M. Schultheiß, and K. Warnatz. 2021. International multicenter experience of transjugular intrahepatic portosystemic shunt implantation in patients with common variable immunodeficiency. J Allergy Clin Immunol Pract.
20. Lang-Meli, J., J. Fuchs, P. Mathé, H. E. Ho, L. Kern, L. Jaki, G. Rusignuolo, S. Mertins, V. Somogyi, C. Neumann-Haefelin, F. Trinkmann, M. Müller, R. Thimme, M. Umhau, I. Quinti, D. Wagner, M. Panning, C. Cunningham-Rundles, K. Laubner, and K. Warnatz. 2021. Case Series: Convalescent Plasma Therapy for Patients with COVID-19 and Primary Antibody Deficiency. J Clin Immunol: 1-13.
21. van de Ven, A., T. M. Alfaro, A. Robinson, U. Baumann, A. Bergeron, S. O. Burns, A. M. Condliffe, B. Fevang, A. R. Gennery, F. Haerynck, J. Jacob, S. Jolles, M. Malphettes, V. Meignin, T. Milota, J. van Montfrans, A. Prasse, I. Quinti, E. Renzoni, D. Stolz, K. Warnatz, and J. R. Hurst. 2020. Managing Granulomatous-Lymphocytic Interstitial Lung Disease in Common Variable Immunodeficiency Disorders: e-GLILDnet International Clinicians Survey. Frontiers in immunology 11: 606333.
22. Hanitsch, L., U. Baumann, K. Boztug, U. Burkhard-Meier, M. Fasshauer, P. Habermehl, F. Hauck, G. Klock, J. Liese, O. Meyer, R. Müller, J. Pachlopnik-Schmid, D. Pfeiffer-Kascha, K. Warnatz, C. Wehr, K. Wittke, T. Niehues, and H. von Bernuth. 2020. Treatment and management of primary antibody deficiency: German interdisciplinary evidence-based consensus guideline. Eur J Immunol 50: 1432-1446.
23. Wehr, C., A. R. Gennery, C. Lindemans, A. Schulz, M. Hoenig, R. Marks, M. Recher, B. Gruhn, A. Holbro, I. Heijnen, D. Meyer, G. Grigoleit, H. Einsele, U. Baumann, T. Witte, K. W. Sykora, S. Goldacker, L. Regairaz, S. Aksoylar, O. Ardeniz, M. Zecca, P. Zdziarski, I. Meyts, S. Matthes-Martin, K. Imai, C. Kamae, A. Fielding, S. Seneviratne, N. Mahlaoui, M. A. Slatter, T. Gungor, P. D. Arkwright, J. van Montfrans, K. E. Sullivan, B. Grimbacher, A. Cant, H. H. Peter, J. Finke, H. B. Gaspar, K. Warnatz, and M. Rizzi. 2015. Multicenter experience in hematopoietic stem cell transplantation for serious complications of common variable immunodeficiency. J Allergy Clin Immunol 135: 988-997.
24. Rizzi, M., C. Neumann, A. K. Fielding, R. Marks, S. Goldacker, J. Thaventhiran, M. D. Tarzi, M. Schlesier, U. Salzer, H. Eibel, K. Warnatz, J. Finke, B. Grimbacher, and H. H. Peter. 2011. Outcome of allogeneic stem cell transplantation in adults with common variable immunodeficiency. J.Allergy Clin.Immunol. 128: 1371-1374.
Summary
Immune-mediated gastrointestinal disease is a severe complication in patients with common variable immunodeficiency (CVID). This project aims to characterize the clinical and immunological manifestations of common variable immunodeficiency in the gastrointestinal tract. We could demonstrate an imbalance of T-cell mediated immunity causing the enteropathy in the context of the disturbed local IgA production due to the underlying humoral immunodeficiency (manuscript submitted). By the cross-sectional and longitudinal analysis of the local and systemic alterations of T-cell homeostasis, the activation of local innate cells as macrophages, the interferon network and of the epithelial integrity in comparison to healthy and disease controls, the project aims to improve diagnostics and to define targets for treatment of this severe manifestation in patients with CVID. (1-3)

1: Healthy Control | 2: CVID no villous atrophy | 3: CVID villous atrophy

1: Healthy Control | 2: CVID no villous atrophy | 3: CVID villous atrophy
Methods
- Deep phenotyping by multicolor flow cytometry
- Tissue culture
- RNAseq
- Histology
- Multiple epitope ligand cartography (MELC)
Cooperations
- Peter Hasselblatt, Sagar (Gastroenterology, Freiburg)
- Bodo Grimbacher (IFI, Freiburg)
- Anja Hauser (DKRZ, Berlin)
- Christoph Schell (Pathology, Freiburg)
- Detlef Schuppan (Gastroenterology, Mainz & Boston, USA)
Funding
- DFG SFB 1160 (Impath)
Publications
1. Zeiser, R., K. Warnatz, S. Rosshart, Sagar, and Y. Tanriver. 2022. GVHD, IBD and primary immunodeficiencies: The gut as a target of immunopathology resulting from impaired immunity. Eur J Immunol.
2. Klocperk, A., D. Friedmann, A. E. Schlaak, S. Unger, Z. Parackova, S. Goldacker, A. Sediva, B. Bengsch, and K. Warnatz. 2022. Distinct CD8 T Cell Populations with Differential Exhaustion Profiles Associate with Secondary Complications in Common Variable Immunodeficiency. J Clin Immunol.
3. de Melo, K. M., S. Unger, B. Keller, S. Gutenberger, I. Stumpf, S. Goldacker, and K. Warnatz. 2017. Increase of circulating alpha4beta7+ conventional memory CD4 and regulatory T cells in patients with common variable immunodeficiency (CVID). Clin Immunol 180: 80-83.
Summary
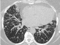
Granulomatous and Interstitial lung disease (ILD) affects about 15% of patients with common variable immunodeficiency (CVID) severely impacting their morbidity and mortality. So far only a few retrospective studies have evaluated this entity. The etiology, pathogenesis and risk factors contributing to the development of this inflammatory organ disease in CVID are not known. Viral triggers have been postulated but not confirmed in additional cohorts. The histological involvement of the pulmonary tissue varies and includes most often a mixed picture of granulomatous disease, lymphocytic interstitial pneumonitis (LIP), cryptic organizing pneumonia (COP) and follicular bronchiolitis and sometimes fibrosis presenting with diverse CT images. The prognosis of this manifestation varies widely. While severe cases progress to oxygen dependence within a few years, most patients have a milder course of disease. About 2/3 of patients require immunosuppressive therapy. Many case reports have suggested different therapeutic measures but no consensus has been reached on the best treatment beyond corticosteroids. In a large European multicenter study (STILPAD; Study of interstitial lung disease in primary antibody deficiency) 147 CVID patients of 14 centers are prospectively investigated, in order to answer some of the burning questions about pathogenesis, the natural course of the disease and optimal treatment strategies. eGLILDnet funded by the European Respiratory Society (ERS) has been founded in 2019 as a platform for exchange of physicians, researchers and patients on research, diagnostics and management of ILD in CVID. (1-12)
Methods
- Clinical study
- Imaging studies
- Lung function
- Evaluation of serological and immunological biomarkers in peripheral blood and bronchoalveolar lavage
- Histological studies
Cooperations
- eGLILDnet
- ESID clinical working party on guidelines for ILD in CVID
- STILPAD: 14 centers in UK, France, Germany
- Prof. John Hurst (Royal free Hospital, London, UK)
- Prof. Borre Fevang (University Hospital, Oslo, Norway)
- Prof. Joris van Montfrans (University Hospital, Utrecht, NL)
Funding
- CCI Professorship Clinical Immunology (2013-2018)
- eGLILDnet sponsored by the European Respiratory Society (ERS) has been founded in 2019 in order to create a research platform for GLILD (https://www.ersnet.org/research/e-glildnet---a-european-granulomatous-lymphocytic-interstitial-lung-disease-network)
- Industry
Publications
1. von Spee-Mayer, C., C. Echternach, P. Agarwal, S. Gutenberger, V. Soetedjo, S. Goldacker, and K. Warnatz. 2021. Abatacept Use Is Associated with Steroid Dose Reduction and Improvement in Fatigue and CD4-Dysregulation in CVID Patients with Interstitial Lung Disease. J Allergy Clin Immunol Pract 9: 760-770 e710.
2. Hurst, J. R., S. H. Abbas, H. M. Bintalib, T. M. Alfaro, U. Baumann, S. O. Burns, A. Condliffe, J. R. Davidsen, B. Fevang, A. R. Gennery, F. Haerynck, J. Jacob, S. Jolles, O. Lamers, A. Bergeron, M. Malphettes, V. Meignin, C. Milito, T. Milota, M. Pergent, A. Prasse, I. Quinti, E. Renzoni, A. Sediva, D. Stolz, B. Smits, F. Strauss, A. van de Ven, J. van Montfrans, and K. Warnatz. 2021. Granulomatous-lymphocytic interstitial lung disease: an international research prioritisation. ERJ Open Res 7.
3. Fevang, B., K. Warnatz, and J. R. Hurst. 2021. Editorial: Interstitial Lung Disease in Primary Immunodeficiencies. Frontiers in immunology 12: 699126.
4. Lamers, O. A. C., B. M. Smits, H. L. Leavis, G. J. de Bree, C. Cunningham-Rundles, V. A. S. H. Dalm, H.-e. Ho, J. R. Hurst, H. IJspeert, S. M. P. J. Prevaes, A. Robinson, A. C. van Stigt, S. Terheggen-Lagro, A. A. J. M. van de Ven, K. Warnatz, J. H. H. M. van de Wijgert, and J. van Montfrans. 2021. Treatment Strategies for GLILD in Common Variable Immunodeficiency: A Systematic Review. Frontiers in Immunology 12: 606099.
5. Hurst, J. R., and K. Warnatz. 2020. Interstitial lung disease in primary immunodeficiency: towards a brighter future. Eur Respir J 55.
6. van de Ven, A., T. M. Alfaro, A. Robinson, U. Baumann, A. Bergeron, S. O. Burns, A. M. Condliffe, B. Fevang, A. R. Gennery, F. Haerynck, J. Jacob, S. Jolles, M. Malphettes, V. Meignin, T. Milota, J. van Montfrans, A. Prasse, I. Quinti, E. Renzoni, D. Stolz, K. Warnatz, and J. R. Hurst. 2020. Managing Granulomatous-Lymphocytic Interstitial Lung Disease in Common Variable Immunodeficiency Disorders: e-GLILDnet International Clinicians Survey. Frontiers in immunology 11: 606333.
7. Meerburg, J. J., I. J. C. Hartmann, S. Goldacker, U. Baumann, A. Uhlmann, E. R. Andrinopoulou, V. D. C. M. P. C. Kemner, K. Warnatz, and H. Tiddens. 2020. Analysis of Granulomatous Lymphocytic Interstitial Lung Disease Using Two Scoring Systems for Computed Tomography Scans-A Retrospective Cohort Study. Frontiers in immunology 11: 589148.
8. Friedmann, D., S. Unger, B. Keller, M. Rakhmanov, S. Goldacker, G. Zissel, B. C. Frye, J. C. Schupp, A. Prasse, and K. Warnatz. 2020. Bronchoalveolar Lavage Fluid Reflects a T(H)1-CD21(low) B-Cell Interaction in CVID-Related Interstitial Lung Disease. Frontiers in immunology 11: 616832.
9. Schutz, K., D. Alecsandru, B. Grimbacher, J. Haddock, A. Bruining, G. Driessen, E. de Vries, P. M. van Hagen, I. Hartmann, F. Fraioli, C. Milito, M. Mitrevski, I. Quinti, G. Serra, P. Kelleher, M. Loebinger, J. Litzman, V. Postranecka, V. Thon, J. Babar, A. M. Condliffe, A. Exley, D. Kumararatne, N. Screaton, A. Jones, M. P. Bondioni, V. Lougaris, A. Plebani, A. Soresina, C. Sirignano, G. Spadaro, N. Galal, L. I. Gonzalez-Granado, S. Dettmer, R. Stirling, H. Chapel, M. Lucas, S. Patel, C. M. Farber, I. Meyts, A. K. Banerjee, S. Hackett, J. R. Hurst, K. Warnatz, B. Gathmann, and U. Baumann. 2019. Imaging of Bronchial Pathology in Antibody Deficiency: Data from the European Chest CT Group. J Clin Immunol 39: 45-54.
10. Akhter, J., C. A. Lefaiver, C. Scalchunes, M. DiGirolamo, and K. Warnatz. 2018. Immunologist's Perspectives on Assessment and Management of Lung Disease in CVID: a Survey of the Membership of the Clinical Immunology Society and the European Society for Immunodeficiencies. J Clin Immunol.
11. Kollert, F., N. Venhoff, S. Goldacker, C. Wehr, N. Lutzen, R. E. Voll, A. Prasse, and K. Warnatz. 2014. Bronchoalveolar lavage cytology resembles sarcoidosis in a subgroup of granulomatous CVID. Eur Respir J 43: 922-924.
12. Prasse, A., G. Kayser, and K. Warnatz. 2013. Common variable immunodeficiency-associated granulomatous and interstitial lung disease. Current opinion in pulmonary medicine 19: 503-509.
Summary
Currently, monogenic causes for over 400 primary immunodeficiencies have been described. The discovery of genetically defined inborn errors of immunity not only allows to discover the genetic origin of the individual patient’s immunodeficiency but it also provides unique glimpses into specific molecular aspects of the human immune system. Our group has been involved in the discovery or further description of different monogenic IEIs. Many of these discoveries have evolved from the fruitful collaboration with Prof. Polina Stepensky at Hadassah University and her Israeli and Palestinian colleagues. This work honors the loving dedication of men and women across borders of this world and has taught us a lot. We continue to explore molecular mechanisms of monogenic disorders of the adaptive immune system with a special focus on NF-kB related defects. (1-34)
Methods
- Deep phenotyping of the immune system
- In vitro cell culture
- Signaling studies
- Molecular Cloning
- CRISPR/Cas9
Cooperations
- Prof. Bodo Grimbacher (IFI, Freiburg)
- Prof. Polina Stepensky (Hadassah, Jerusalem, Israel)
- Prof. Jürgen Wienands (University, Göttingen)
- Prof. Stuart Tangye (Garvan Institute, Sydney, Australia)
Funding
- DFG DECIDE (2013-2018)
- BMBF GAIN (2019-2016)
- DFG DACH PRKCD (2016-2020)
Publications
1. Wang, L., D. Aschenbrenner, Z. Zeng, X. Cao, D. Mayr, M. Mehta, M. Capitani, N. Warner, J. Pan, L. Wang, Q. Li, T. Zuo, S. Cohen-Kedar, J. Lu, R. C. Ardy, D. J. Mulder, D. Dissanayake, K. Peng, Z. Huang, X. Li, Y. Wang, X. Wang, S. Li, S. Bullers, A. N. Gammage, K. Warnatz, A. I. Schiefer, G. Krivan, V. Goda, W. H. A. Kahr, M. Lemaire, C. Y. Lu, I. Siddiqui, M. G. Surette, D. Kotlarz, K. R. Engelhardt, H. R. Griffin, R. Rottapel, H. Decaluwe, R. M. Laxer, M. Proietti, S. Hambleton, S. Elcombe, C. H. Guo, B. Grimbacher, I. Dotan, S. C. Ng, S. A. Freeman, S. B. Snapper, C. Klein, K. Boztug, Y. Huang, D. Li, H. H. Uhlig, and A. M. Muise. 2021. Gain-of-function variants in SYK cause immune dysregulation and systemic inflammation in humans and mice. Nature genetics 53: 500-510.
2. Keller, B., M. Shoukier, K. Schulz, A. Bhatt, I. Heine, V. Strohmeier, C. Speckmann, N. Engels, K. Warnatz, and J. Wienands. 2018. Germline deletion of CIN85 in humans with X chromosome-linked antibody deficiency. The Journal of experimental medicine.
3. Warnatz, K., U. Salzer, M. Rizzi, B. Fischer, S. Gutenberger, J. Bohm, A. K. Kienzler, Q. Pan-Hammarstrom, L. Hammarstrom, M. Rakhmanov, M. Schlesier, B. Grimbacher, H. H. Peter, and H. Eibel. 2009. B-cell activating factor receptor deficiency is associated with an adult-onset antibody deficiency syndrome in humans. Proc.Natl.Acad.Sci.U.S.A. 106(33): 13945-13950.
4. Warnatz, K., L. Bossaller, U. Salzer, A. Skrabl-Baumgartner, W. Schwinger, B. M. van der, J. J. van Dongen, M. Orlowska-Volk, R. Knoth, A. Durandy, R. Draeger, M. Schlesier, H. H. Peter, and B. Grimbacher. 2006. Human ICOS deficiency abrogates the germinal center reaction and provides a monogenic model for common variable immunodeficiency. Blood 107: 3045-3052.
5. Cagdas, D., D. Mayr, S. Baris, L. Worley, D. B. Langley, A. Metin, E. S. Aytekin, R. Atan, N. Kasap, S. K. Bal, J. Dmytrus, R. J. Heredia, G. Karasu, S. H. Torun, M. Toyran, E. Karakoc-Aydiner, D. Christ, B. Kuskonmaz, D. Uçkan-Çetinkaya, A. Uner, F. Oberndorfer, A. I. Schiefer, G. Uzel, E. K. Deenick, B. Keller, K. Warnatz, B. Neven, A. Durandy, O. Sanal, C. S. Ma, A. Özen, P. Stepensky, I. Tezcan, K. Boztug, and S. G. Tangye. 2021. Genomic Spectrum and Phenotypic Heterogeneity of Human IL-21 Receptor Deficiency. J Clin Immunol 41: 1272-1290.
6. Rojas-Restrepo, J., A. Caballero-Oteyza, K. Huebscher, H. Haberstroh, M. Fliegauf, B. Keller, R. Kobbe, K. Warnatz, S. Ehl, M. Proietti, and B. Grimbacher. 2021. Establishing the Molecular Diagnoses in a Cohort of 291 Patients With Predominantly Antibody Deficiency by Targeted Next-Generation Sequencing: Experience From a Monocentric Study. Frontiers in Immunology 12.
7. NaserEddin, A., Y. Dinur-Schejter, B. Shadur, I. Zaidman, E. Even-Or, D. Averbuch, O. Shamriz, Y. Tal, A. Shaag, K. Warnatz, O. Elpeleg, and P. Stepensky. 2020. Bacillus Calmette-Guerin (BCG) Vaccine-associated Complications in Immunodeficient Patients Following Stem Cell Transplantation. J Clin Immunol: 1-16.
8. Hildebrand, J. M., M. Kauppi, I. J. Majewski, Z. Liu, A. J. Cox, S. Miyake, E. J. Petrie, M. A. Silk, Z. Li, M. C. Tanzer, G. Brumatti, S. N. Young, C. Hall, S. E. Garnish, J. Corbin, M. D. Stutz, L. Di Rago, P. Gangatirkar, E. C. Josefsson, K. Rigbye, H. Anderton, J. A. Rickard, A. Tripaydonis, J. Sheridan, T. S. Scerri, V. E. Jackson, P. E. Czabotar, J. G. Zhang, L. Varghese, C. C. Allison, M. Pellegrini, G. M. Tannahill, E. C. Hatchell, T. A. Willson, D. Stockwell, C. A. de Graaf, J. Collinge, A. Hilton, N. Silke, S. K. Spall, D. Chau, V. Athanasopoulos, D. Metcalf, R. M. Laxer, A. G. Bassuk, B. W. Darbro, M. A. Fiatarone Singh, N. Vlahovich, D. Hughes, M. Kozlovskaia, D. B. Ascher, K. Warnatz, N. Venhoff, J. Thiel, C. Biben, S. Blum, J. Reveille, M. S. Hildebrand, C. G. Vinuesa, P. McCombe, M. A. Brown, B. T. Kile, C. McLean, M. Bahlo, S. L. Masters, H. Nakano, P. J. Ferguson, J. M. Murphy, W. S. Alexander, and J. Silke. 2020. A missense mutation in the MLKL brace region promotes lethal neonatal inflammation and hematopoietic dysfunction. Nat Commun 11: 3150.
9. Klemann, C., N. Camacho-Ordonez, L. Yang, Z. Eskandarian, J. L. Rojas-Restrepo, N. Frede, A. Bulashevska, M. Heeg, M. S. Al-Ddafari, J. Premm, M. Seidl, S. Ammann, R. Sherkat, N. Radhakrishnan, K. Warnatz, S. Unger, R. Kobbe, A. Hufner, T. R. Leahy, W. Ip, S. O. Burns, M. Fliegauf, and B. Grimbacher. 2019. Clinical and Immunological Phenotype of Patients With Primary Immunodeficiency Due to Damaging Mutations in NFKB2. Frontiers in immunology 10: 297.
10. Schwab, C., A. Gabrysch, P. Olbrich, V. Patino, K. Warnatz, D. Wolff, A. Hoshino, M. Kobayashi, K. Imai, M. Takagi, I. Dybedal, J. A. Haddock, D. M. Sansom, J. M. Lucena, M. Seidl, A. Schmitt-Graeff, V. Reiser, F. Emmerich, N. Frede, A. Bulashevska, U. Salzer, D. Schubert, S. Hayakawa, S. Okada, M. Kanariou, Z. Y. Kucuk, H. Chapdelaine, L. Petruzelkova, Z. Sumnik, A. Sediva, M. Slatter, P. D. Arkwright, A. Cant, H. M. Lorenz, T. Giese, V. Lougaris, A. Plebani, C. Price, K. E. Sullivan, M. Moutschen, J. Litzman, T. Freiberger, F. L. van de Veerdonk, M. Recher, M. H. Albert, F. Hauck, S. Seneviratne, J. Pachlopnik Schmid, A. Kolios, G. Unglik, C. Klemann, C. Speckmann, S. Ehl, A. Leichtner, R. Blumberg, A. Franke, S. Snapper, S. Zeissig, C. Cunningham-Rundles, L. Giulino-Roth, O. Elemento, G. Duckers, T. Niehues, E. Fronkova, V. Kanderova, C. D. Platt, J. Chou, T. A. Chatila, R. Geha, E. McDermott, S. Bunn, M. Kurzai, A. Schulz, L. Alsina, F. Casals, A. Deya-Martinez, S. Hambleton, H. Kanegane, K. Tasken, O. Neth, and B. Grimbacher. 2018. Phenotype, penetrance, and treatment of 133 cytotoxic T-lymphocyte antigen 4-insufficient subjects. J Allergy Clin Immunol 142: 1932-1946.
11. Egg, D., C. Schwab, A. Gabrysch, P. D. Arkwright, E. Cheesman, L. Giulino-Roth, O. Neth, S. Snapper, S. Okada, M. Moutschen, P. Delvenne, A. C. Pecher, D. Wolff, Y. J. Kim, S. Seneviratne, K. M. Kim, J. M. Kang, S. Ojaimi, C. McLean, K. Warnatz, M. Seidl, and B. Grimbacher. 2018. Increased Risk for Malignancies in 131 Affected CTLA4 Mutation Carriers. Frontiers in immunology 9: 2012.
12. Stepensky, P., B. Keller, O. Shamriz, C. von Spee-Mayer, D. Friedmann, B. Shadur, S. Unger, S. Fuchs, A. NaserEddin, N. Rumman, S. Amro, V. Molho Pessach, O. Abuzaitoun, R. Somech, O. Elpeleg, S. Ehl, and K. Warnatz. 2018. T(+) NK(+) IL-2 Receptor gamma Chain Mutation: a Challenging Diagnosis of Atypical Severe Combined Immunodeficiency. J Clin Immunol 38: 527-536.
13. Wentink, M. W. J., M. C. van Zelm, J. J. M. van Dongen, K. Warnatz, and M. van der Burg. 2018. Deficiencies in the CD19 complex. Clin Immunol 195: 82-87.
14. Nabhani, S., C. Schipp, H. Miskin, C. Levin, S. Postovsky, T. Dujovny, A. Koren, D. Harlev, A. M. Bis, F. Auer, B. Keller, K. Warnatz, M. Gombert, S. Ginzel, A. Borkhardt, P. Stepensky, and U. Fischer. 2017. STAT3 gain-of-function mutations associated with autoimmune lymphoproliferative syndrome like disease deregulate lymphocyte apoptosis and can be targeted by BH3 mimetic compounds. Clin Immunol 181: 32-42.
15. Schepp, J., M. Proietti, N. Frede, M. Buchta, K. Hubscher, J. Rojas Restrepo, S. Goldacker, K. Warnatz, J. Pachlopnik Schmid, A. Duppenthaler, V. Lougaris, I. Uriarte, S. Kelly, M. Hershfield, and B. Grimbacher. 2017. Screening of 181 patients with antibody deficiency for Deficiency of Adenosine Deaminase 2 sheds new light on the disease in adulthood. Arthritis Rheumatol.
16. Breuer, O., H. Daum, M. Cohen-Cymberknoh, S. Unger, D. Shoseyov, P. Stepensky, B. Keller, K. Warnatz, and E. Kerem. 2017. Autosomal dominant gain of function STAT1 mutation and severe bronchiectasis. Respir Med 126: 39-45.
17. Jandl, C., S. M. Liu, P. F. Canete, J. Warren, W. E. Hughes, A. Vogelzang, K. Webster, M. E. Craig, G. Uzel, A. Dent, P. Stepensky, B. Keller, K. Warnatz, J. Sprent, and C. King. 2017. IL-21 restricts T follicular regulatory T cell proliferation through Bcl-6 mediated inhibition of responsiveness to IL-2. Nat Commun 8: 14647.
18. Stepensky, P., B. Keller, O. Shamriz, A. NaserEddin, N. Rumman, M. Weintraub, K. Warnatz, O. Elpeleg, and Y. Barak. 2016. Deep intronic mis-splicing mutation in JAK3 gene underlies T-B+NK- severe combined immunodeficiency phenotype. Clin Immunol. 163:91-95.: 10.1016/j.clim.2016.1001.1001.
19. Salzer, E., E. Santos-Valente, B. Keller, K. Warnatz, and K. Boztug. 2016. Protein Kinase C delta: a Gatekeeper of Immune Homeostasis. J Clin Immunol 36: 631-640.
20. Keller, B., I. Zaidman, O. S. Yousefi, D. Hershkovitz, J. Stein, S. Unger, K. Schachtrup, M. Sigvardsson, A. A. Kuperman, A. Shaag, W. W. Schamel, O. Elpeleg, K. Warnatz, and P. Stepensky. 2016. Early onset combined immunodeficiency and autoimmunity in patients with loss-of-function mutation in LAT. The Journal of experimental medicine 213: 1185-1199.
21. Ardeniz, O., S. Unger, H. Onay, S. Ammann, C. Keck, C. Cianga, B. Gerceker, B. Martin, I. Fuchs, U. Salzer, A. Ikinciogullari, D. Guloglu, T. Dereli, R. Thimme, S. Ehl, K. Schwarz, A. Schmitt-Graeff, P. Cianga, P. Fisch, and K. Warnatz. 2015. beta-Microglobulin deficiency causes a complex immunodeficiency of the innate and adaptive immune system. J Allergy Clin Immunol 136: 392-401.
22. Fliegauf, M., V. L. Bryant, N. Frede, C. Slade, S. T. Woon, K. Lehnert, S. Winzer, A. Bulashevska, T. Scerri, E. Leung, A. Jordan, B. Keller, E. de Vries, H. Cao, F. Yang, A. A. Schaffer, K. Warnatz, P. Browett, J. Douglass, R. V. Ameratunga, J. W. van der Meer, and B. Grimbacher. 2015. Haploinsufficiency of the NF-kappaB1 Subunit p50 in Common Variable Immunodeficiency. Am J Hum Genet. 97: 389-403. doi: 310.1016/j.ajhg.2015.1007.1008. Epub 2015 Aug 1013.
23. Henkes, M., J. Finke, K. Warnatz, S. Ammann, U. Z. Stadt, G. Janka, and W. Brugger. 2015. Late-onset hemophagocytic lymphohistiocytosis (HLH) in an adult female with Griscelli syndrome type 2 (GS2). Ann Hematol. 94: 1057-1060. doi: 1010.1007/s00277-00014-02284-00279. Epub 02014 Dec 00230.
24. Horev, L., S. Unger, V. Molho-Pessach, T. Meir, A. Maly, P. Stepensky, M. Zamir, B. Keller, S. Babay, K. Warnatz, Y. Ramot, and A. Zlotogorski. 2015. Generalized verrucosis and HPV-3 susceptibility associated with CD4 T-cell lymphopenia caused by inherited human interleukin-7 deficiency. J Am Acad Dermatol. 72: 1082-1084. doi: 1010.1016/j.jaad.2015.1002.1118.
25. Li, J., S. F. Jorgensen, S. M. Maggadottir, M. Bakay, K. Warnatz, J. Glessner, R. Pandey, U. Salzer, R. E. Schmidt, E. Perez, E. Resnick, S. Goldacker, M. Buchta, T. Witte, L. Padyukov, V. Videm, T. Folseraas, F. Atschekzei, J. T. Elder, R. P. Nair, J. Winkelmann, C. Gieger, M. M. Nothen, C. Buning, S. Brand, K. E. Sullivan, J. S. Orange, B. Fevang, S. Schreiber, W. Lieb, P. Aukrust, H. Chapel, C. Cunningham-Rundles, A. Franke, T. H. Karlsen, B. Grimbacher, H. Hakonarson, L. Hammarstrom, and E. Ellinghaus. 2015. Association of CLEC16A with human common variable immunodeficiency disorder and role in murine B cells. Nat Commun. 6:6804.: 10.1038/ncomms7804.
26. NaserEddin, A., O. Shamriz, B. Keller, R. M. Alzyoud, S. Unger, P. Fisch, E. Prus, Y. Berkun, D. Averbuch, A. Shaag, A. M. Wahadneh, M. E. Conley, K. Warnatz, O. Elpeleg, and P. Stepensky. 2015. Enteroviral Infection in a Patient with BLNK Adaptor Protein Deficiency. J Clin Immunol 35: 356-360.
27. Revel-Vilk, S., U. Fischer, B. Keller, S. Nabhani, L. Gamez-Diaz, A. Rensing-Ehl, M. Gombert, A. Honscheid, H. Saleh, A. Shaag, A. Borkhardt, B. Grimbacher, K. Warnatz, O. Elpeleg, and P. Stepensky. 2015. Autoimmune lymphoproliferative syndrome-like disease in patients with LRBA mutation. Clin Immunol. 159: 84-92. doi: 10.1016/j.clim.2015.1004.1007. Epub 2015 Apr 1027.
28. Stepensky, P., B. Keller, O. Abuzaitoun, A. Shaag, B. Yaacov, S. Unger, M. Seidl, M. Rizzi, M. Weintraub, O. Elpeleg, and K. Warnatz. 2015. Extending the clinical and immunological phenotype of human interleukin-21 receptor deficiency. Haematologica. 100: e72-76. doi: 10.3324/haematol.2014.112508. Epub 112014 Nov 112514.
29. Stepensky, P., A. Rensing-Ehl, R. Gather, S. Revel-Vilk, U. Fischer, S. Nabhani, F. Beier, T. H. Brummendorf, S. Fuchs, S. Zenke, E. Firat, V. M. Pessach, A. Borkhardt, M. Rakhmanov, B. Keller, K. Warnatz, H. Eibel, G. Niedermann, O. Elpeleg, and S. Ehl. 2015. Early-onset Evans syndrome, immunodeficiency, and premature immunosenescence associated with tripeptidyl-peptidase II deficiency. Blood. 125: 753-761. doi: 710.1182/blood-2014-1108-593202. Epub 592014 Nov 593220.
30. Esmaeilzadeh, H., M. H. Bemanian, M. Nabavi, S. Arshi, M. Fallahpour, I. Fuchs, U. Zur Stadt, K. Warnatz, S. Ammann, S. Ehl, K. Lehmberg, and N. Rezaei. 2014. Novel Patient with Late-Onset Familial Hemophagocytic Lymphohistiocytosis with STXBP2 Mutations Presenting with Autoimmune Hepatitis, Neurological Manifestations and Infections Associated with Hypogammaglobulinemia. J Clin Immunol: 10.
31. Schubert, D., C. Bode, R. Kenefeck, T. Z. Hou, J. B. Wing, A. Kennedy, A. Bulashevska, B. S. Petersen, A. A. Schaffer, B. A. Gruning, S. Unger, N. Frede, U. Baumann, T. Witte, R. E. Schmidt, G. Dueckers, T. Niehues, S. Seneviratne, M. Kanariou, C. Speckmann, S. Ehl, A. Rensing-Ehl, K. Warnatz, M. Rakhmanov, R. Thimme, P. Hasselblatt, F. Emmerich, T. Cathomen, R. Backofen, P. Fisch, M. Seidl, A. May, A. Schmitt-Graeff, S. Ikemizu, U. Salzer, A. Franke, S. Sakaguchi, L. S. Walker, D. M. Sansom, and B. Grimbacher. 2014. Autosomal dominant immune dysregulation syndrome in humans with CTLA4 mutations. Nature medicine 20: 1410-1416.
32. Stepensky, P., B. Keller, O. Abuzaitoun, A. Shaag, B. Yaacov, S. Unger, M. Seidl, M. Rizzi, M. Weintraub, O. Elpeleg, and K. Warnatz. 2014. Extending the clinical and immunological phenotype of human Interleukin-21 receptor deficiency. Haematologica.
33. Turvey, S. E., A. Durandy, A. Fischer, S. Y. Fung, R. S. Geha, A. Gewies, T. Giese, J. Greil, B. Keller, M. L. McKinnon, B. Neven, J. Rozmus, J. Ruland, A. L. Snow, P. Stepensky, and K. Warnatz. 2014. The CARD11-BCL10-MALT1 (CBM) signalosome complex: Stepping into the limelight of human primary immunodeficiency. J Allergy Clin Immunol 134: 276-284.
34. Stepensky, P., B. Keller, M. Buchta, A. K. Kienzler, O. Elpeleg, R. Somech, S. Cohen, I. Shachar, L. A. Miosge, M. Schlesier, I. Fuchs, A. Enders, H. Eibel, B. Grimbacher, and K. Warnatz. 2013. Deficiency of caspase recruitment domain family, member 11 (CARD11), causes profound combined immunodeficiency in human subjects. J Allergy Clin Immunol 131: 477-485 e471.
Summary
A hallmark of adaptive immunity is the generation of memory and rapid recall responses against previously encountered foreign antigens and thereby ensuring sustained protection from pathogens. In humoral responses this protection is provided by class-switched memory B cells and long-lived plasma cells which produce high-affinity antibodies. Both populations derive from germinal centers (GC), unique structures in secondary lymphoid organs such as lymph nodes or the spleen or at sites of inflammation. A tight control of GC reactions is needed to establish immunity and prevent autoimmunity. The majority of patients with common variable immunodeficiency (CVID) presents with clear signs of disturbed GC reactions, including severely reduced numbers of peripheral plasma cells and memory B cells.
Recently, we demonstrated that the formation of GC is intact in most CVID patients with lymphadenopathy and the lack of post-GC B-cell populations is rather a failure of GC output. Therefore, the study of the dysregulated GC reaction in CVID offers a unique opportunity to investigate signaling pathways and factors essential for adequate long-lived immune responses. A common feature of these patients is the occurrence of irregular-shaped GC and a skewed CD4 T-cell differentiation towards an IFNg-producing TH1 phenotype which is associated with an increased frequency of autoimmunity and inflammation. By combining multi-epitope histology, high resolution flow cytometry, transcriptome and functional analysis, we investigate T follicular helper (TFH) cell and B-cell differentiation in disturbed GC reactions to advance our understanding of relevant pathomechanisms in human GC associated immune dysregulation. In a recent project we investigate the contribution of altered stroma cell- immune cell interactions to this process. (1-9)

Methods
- Histology (Immunohistochemistry and Immunofluorescence)
- Multiple ligand cartography (MELC)
- Flow and mass cytometry
- Signaling studies
- RNA sequencing of germinal-center derived T- and B cell subpopulations
- BCR sequencing
- T cell/B cell coculture assays and in-vitro differentiation
Cooperations
- Maximiliam Seidl (Department of Pathology, Düsseldorf)
- Mirjam van der Burg, (University Leiden, Netherlands)
- Anja Hauser (DRFZ, Berlin)
- Bertram Bengsch, Tobias Böttler (Gastroenterology, Freiburg)
- Christoph Schell (Pathology, Freiburg)
- Christopher Müller (Institut de Biologie Moléculaire et Cellulaire, Strassburg, France)
Funding
- BMBF: CCI Professorship Clinical Immunology (2013-2018)
- EU: EuriDoc (2021-2024)
Publications
1. Tangye, S. G., and K. Warnatz. 2022. "Are you gonna go my way?"-Decisions at the Tfh-B cell interface. Immunity 55: 377-379.
2. Friedmann, D., S. Goldacker, H. H. Peter, and K. Warnatz. 2020. Preserved Cellular Immunity Upon Influenza Vaccination in Most Patients with Common Variable Immunodeficiency. J Allergy Clin Immunol Pract 8: 2332-2340.e2335.
3. Klocperk, A., S. Unger, D. Friedmann, M. Seidl, K. Zoldan, J. Pfeiffer, O. Hausmann, V. Benes, G. Andrieux, T. Boettler, A. Sediva, B. Bengsch, and K. Warnatz. 2020. Exhausted phenotype of follicular CD8 T cells in CVID. J Allergy Clin Immunol 146: 912-915.e913.
4. Unger, S., M. Seidl, P. van Schouwenburg, M. Rakhmanov, A. Bulashevska, N. Frede, B. Grimbacher, J. Pfeiffer, K. Schrenk, L. Munoz, L. Hanitsch, I. Stumpf, F. Kaiser, O. Hausmann, F. Kollert, S. Goldacker, M. van der Burg, B. Keller, and K. Warnatz. 2018. TH1 phenotype of T follicular helper cells indicates an IFNgamma-associated immune dysregulation in CD21low CVID patients. J Allergy Clin Immunol 141: 730-740.
5. Unger, S., M. Seidl, A. Schmitt-Graeff, J. Bohm, K. Schrenk, C. Wehr, S. Goldacker, R. Drager, B. C. Gartner, P. Fisch, M. Werner, and K. Warnatz. 2014. Ill-Defined Germinal Centers and Severely Reduced Plasma Cells are Histological Hallmarks of Lymphadenopathy in Patients with Common Variable Immunodeficiency. J Clin Immunol 34: 615-626.
6. Bossaller, L., J. Burger, R. Draeger, B. Grimbacher, R. Knoth, A. Plebani, A. Durandy, U. Baumann, M. Schlesier, A. A. Welcher, H. H. Peter, and K. Warnatz. 2006. ICOS deficiency is associated with a severe reduction of CXCR5+CD4 germinal center Th cells. Journal of Immunology 177: 4927-4932.
7. Warnatz, K., L. Bossaller, U. Salzer, A. Skrabl-Baumgartner, W. Schwinger, B. M. van der, J. J. van Dongen, M. Orlowska-Volk, R. Knoth, A. Durandy, R. Draeger, M. Schlesier, H. H. Peter, and B. Grimbacher. 2006. Human ICOS deficiency abrogates the germinal center reaction and provides a monogenic model for common variable immunodeficiency. Blood 107: 3045-3052.
8. Warnatz, K., D. Kyburz, D. C. Brinson, D. J. Lee, A. Von Damm, M. Engelhart, M. Corr, D. A. Carson, and H. Tighe. 1999. Rheumatoid factor B cell tolerance via autonomous Fas/FasL-independent apoptosis. Cellular Immunology 191: 69-73.
9. Tighe, H., K. Warnatz, D. Brinson, M. Corr, W. O. Weigle, S. M. Baird, and D. A. Carson. 1997. Peripheral deletion of rheumatoid factor B cells after abortive activation by IgG. Proc.Natl.Acad.Sci.U.S.A 94: 646-651.
Summary
Corona Virus induced Disease COVID19 by SARS-CoV-2 infection has challenged the world since 2019. This pandemic has caused a tremendous threat to human societies around the world on many levels. Our group is interested in exploring the immune response against SARS-CoV-2 in patients with impaired immune systems especially antibody deficiency in order to dissect the requirement for the different layers of the immune response in the defense against this viral infection (1-3).

Methods
- Deep phenotyping of the immune system
- ELISA
- Nanostring
- Vaccination studies
- Functional Assays (AIM assay)
Cooperations
- Maike Hofmann (Gastroenterology, Freiburg)
- Christoph Neumann-Haefelin (Gastroenterology, Freiburg)
- Marcus Panning (Virology, Freiburg)
- Melanie Börries (IMBI, Freiburg)
- Hermann Eibel (Rheumatology, Freiburg)
- Horst von Bernuth (Charité, Berlin)
- Anne Puel (Institute Necker, Paris, France)
Funding
- DFG (2020-2022)
Publications
1. Lang-Meli, J., J. Fuchs, P. Mathé, H. E. Ho, L. Kern, L. Jaki, G. Rusignuolo, S. Mertins, V. Somogyi, C. Neumann-Haefelin, F. Trinkmann, M. Müller, R. Thimme, M. Umhau, I. Quinti, D. Wagner, M. Panning, C. Cunningham-Rundles, K. Laubner, and K. Warnatz. 2021. Case Series: Convalescent Plasma Therapy for Patients with COVID-19 and Primary Antibody Deficiency. J Clin Immunol: 1-13.
2. Husain-Syed, F., I. Vadász, J. Wilhelm, H. D. Walmrath, W. Seeger, H. W. Birk, B. Jennert, H. Dietrich, S. Herold, J. Trauth, K. Tello, M. Sander, R. E. Morty, H. Slanina, C. G. Schüttler, J. Ziebuhr, S. Kassoumeh, C. Ronco, F. Ferrari, K. Warnatz, K. Stahl, B. Seeliger, M. M. Hoeper, T. Welte, and S. David. 2020. Immunoglobulin Deficiency as an Indicator of Disease Severity in Patients with COVID-19. Am J Physiol Lung Cell Mol Physiol.
3. Meyts, I., G. Bucciol, I. Quinti, B. Neven, A. Fischer, E. Seoane, E. Lopez-Granados, C. Gianelli, A. Robles-Marhuenda, P. Y. Jeandel, C. Paillard, V. G. Sankaran, Y. Y. Demirdag, V. Lougaris, A. Aiuti, A. Plebani, C. Milito, V. A. Dalm, K. Guevara-Hoyer, S. Sánchez-Ramón, L. Bezrodnik, F. Barzaghi, L. I. Gonzalez-Granado, G. R. Hayman, G. Uzel, L. O. Mendonça, C. Agostini, G. Spadaro, R. Badolato, A. Soresina, F. Vermeulen, C. Bosteels, B. N. Lambrecht, M. Keller, P. J. Mustillo, R. S. Abraham, S. Gupta, A. Ozen, E. Karakoc-Aydiner, S. Baris, A. F. Freeman, M. Yamazaki-Nakashimada, S. Scheffler-Mendoza, S. Espinosa-Padilla, A. R. Gennery, S. Jolles, Y. Espinosa, M. C. Poli, C. Fieschi, F. Hauck, C. Cunningham-Rundles, N. Mahlaoui, K. Warnatz, K. E. Sullivan, and S. G. Tangye. 2020. Coronavirus disease 2019 in patients with inborn errors of immunity: An international study. J Allergy Clin Immunol 147: 520-531.
Publications
TOP 5 Publications
- Keller et al Warnatz Sci Immunol 2021 Accession Number: 34623902 DOI: 10.1126/sciimmunol.abh0891
- Smits et al Warnatz JACI 2022 Accession Number: 36587851 DOI: 10.1016/j.jaci.2022.12.813
- Wehr et al Warnatz Blood 2008 Accession Number: 17898316 DOI: 10.1182/blood-2007-06-091744
- Unger et al Warnatz JACI 2018 Accession Number: 28554560 DOI: 10.1016/j.jaci.2017.04.041
- Keller et al Warnatz JEM 2016 Accession Number: 27242165 PMCID: PMC4925012 DOI: 10.1084/jem.20151110
Full List of publications
Team

Prof. Dr. med. Klaus Warnatz
MEDICAL CENTER - UNIVERSITY OF FREIBURG
Center for Chronic Immunodeficiency
at Center for Translational Cell Research
Breisacher Str. 115
79106 Freiburg
Germany
Phone: +49 (0)761 270-77640 (Secretary)
Fax: +49 (0)761 270-77600
klaus.warnatz@uniklinik-freiburg.de



