Universitätsklinikum Freiburg startet Lungenkrebsscreening
Diagnostische und Interventionelle Radiologie(16. 09. 2025) Erstmals in Baden-Württemberg: Früherkennung für starke Raucher*innen in der klinischen Versorgung. Die frühe Diagnose ermöglicht deutlich bessere Heilungschancen.
Das Universitätsklinikum Freiburg hat als erste Klinik in Baden-Württemberg die Genehmigung erhalten, Lungenkrebsscreening für starke Raucher*innen in der klinischen Versorgung anzubieten. Mit einem Computertomogramm (CT) können selbst kleinste Veränderungen früh erkannt werden – lange bevor Beschwerden auftreten. Durch die eingesetzte Niedrigdosis-Technik und die modernsten CT-Scanner ist die Untersuchung besonders schonend. Das Programm eröffnet Betroffenen eine bessere Chance auf Heilung und stärkt die onkologische Versorgung im Land nachhaltig.

Dank neuester Technik dauert die Aufnahme nur wenige Minuten und ist sehr schonend. ©Universitätsklinikum Freiburg/Britt Schilling
Zuverlässige Begleitung durch die neueste Diagnostik und Behandlung
„Das strukturierte Lungenkrebsscreening bietet die Möglichkeit, die Erkrankung in einem frühen, potenziell heilbaren Stadium zu entdecken“, sagt Prof. Dr. Christopher Schlett, Leiter der Sektion für Kardiothorakale Bildgebung der Klinik für Diagnostische und Interventionelle Radiologie am Universitätsklinikum Freiburg. Lungenkrebs-Patient*innen werden am Universitätsklinikum Freiburg in einem interdisziplinären Lungenkrebszentrum betreut. Darin tauschen sich Expert*innen aus Pneumologie, Thoraxchirurgie, Strahlenheilkunde, Onkologie, Radiologie, Nuklearmedizin, Pathologie und weiteren Fachbereichen regelmäßig über die beste weitere Vorgehensweise aus. „Wir bündeln hier modernste diagnostische Methoden mit ärztlicher Erfahrung und enger interdisziplinärer Zusammenarbeit, um die Patient*innen zuverlässig durch die neueste Diagnostik und Behandlung zu begleiten“, sagt Prof. Dr. Cornelius Waller, Leiter des Lungenkrebszentrums und Oberarzt an der Klinik für Innere Medizin I des Universitätsklinikums Freiburg.
Für wen kommt das Screening in Frage?
Das Screening richtet sich an Menschen im Alter zwischen 50 und 75 Jahren, die aktuell rauchen oder innerhalb der letzten zehn Jahre mit dem Rauchen aufgehört haben. Voraussetzungen sind mindestens 25 Jahre Raucherfahrung und 15 sogenannte Packungsjahre. So wird angegeben, wie viele Jahre eine Person im Durchschnitt eine bestimmte Zahl an Zigarettenpackungen pro Tag geraucht hat. Beispiel: Eine halbe Packung (10 Zigaretten) täglich über 30 Jahre entspricht 15 Packungsjahren. Zudem muss die letzte CT-Thorax-Untersuchung mehr als zwölf Monate zurückliegen, und es darf keine bekannte Lungenkrebserkrankung oder schwere Vorerkrankung bestehen, die eine Teilnahme ausschließt.

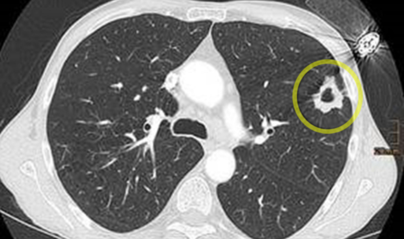
Computertomogramm der Lunge. Die Zigaretten und das Feuerzeug stecken noch in der Brusttasche. Der Tumor wächst direkt darunter in der Lunge. ©Universitätsklinikum Freiburg
Ablauf des Screenings
Die Überweisung kann durch zertifizierte Fachärzt*innen für Allgemeinmedizin, Arbeitsmedizin und Innere Medizin erfolgen. Vor der Aufnahme in das Programm findet ein ärztliches Aufklärungsgespräch statt. Dabei werden Nutzen und Risiken erläutert, wie Strahlenexposition, mögliche Zufalls- oder falsch-positive Befunde. Die CT-Untersuchung ist schmerzfrei und dauert nur wenige Minuten. Kontrastmittel sind für diese Fragestellung nicht erforderlich. Patient*innen werden von der Terminvereinbarung bis zur Befundbesprechung eng begleitet. Teilnehmende werden außerdem über die Chancen der Tabakentwöhnung informiert und bei Bedarf unterstützt. So verbindet das Programm Früherkennung mit präventiven Maßnahmen für eine langfristige Verbesserung der Gesundheit.
Enge Zusammenarbeit ermöglicht frühes Angebot
„Mit dem Start des Programms nimmt das Universitätsklinikum Freiburg eine Vorreiterrolle in Baden-Württemberg ein. Möglich wurde das nur durch die sehr enge und gute Zusammenarbeit mit dem Regierungspräsidium Freiburg bei der Genehmigung“, sagt Prof. Dr. Frederik Wenz, Leitender Ärztlicher Direktor des Universitätsklinikums Freiburg.
„Das Universitätsklinikum Freiburg setzt mit der Lungenkrebsfrüherkennung einen wichtigen Meilenstein in der Krebsvorsorge und ein weiteres Ausrufezeichen für die exzellente Qualität der medizinischen Versorgung in Südbaden. Es freut mich, dass mein Haus dies einmal mehr mit einem zügigen und effizienten Genehmigungsverfahren unterstützen konnte. Patientinnen und Patienten können nun durch die erste Genehmigung dieser Art in Baden-Württemberg frühzeitig von dieser Vorsorge profitieren“, erklärt Regierungspräsident Carsten Gabbert.
Beitrag zur nationalen Krebsstrategie
Das strukturierte Screeningprogramm zur Lungenkrebs-Früherkennung ergänzt die bundesweiten Bemühungen zur Umsetzung des Nationalen Krebsplans, in dem die Früherkennung als zentrale Maßnahme verankert ist. Damit leistet das Angebot einen wichtigen Beitrag zur Verbesserung der medizinischen Versorgung in Deutschland.
Kontakt für Patient*innen:
LungenkrebsScreening@uniklinik-freiburg.de
www.lungenkrebsscreening-freiburg.de
Weitere interessante Artikel
Universitätsklinikum Freiburg
Zentrale InformationTelefon: 0761 270-0
info@uniklinik-freiburg.de
Unternehmenskommunikation
Breisacher Straße 15379110 Freiburg
Telefon: 0761 270-84830
kommunikation@uniklinik-freiburg.de